퇴행성 관절염이란
퇴행성 관절염은 관절을 보호하는 연골이 점진적으로 손상되거나 퇴행성 변화를 겪으면서 발생하는 질환입니다. 관절염 중 가장 흔한 형태로, 주로 무릎, 고관절, 척추, 손가락 등 체중을 지탱하거나 자주 사용하는 관절에서 발생합니다.
퇴행성 관절염의 주요 특징
- 원인:
- 나이 증가: 자연적인 노화로 인해 연골이 닳아 없어짐.
- 비만: 체중 증가로 관절에 가해지는 하중이 커짐.
- 외상: 반복적인 충격이나 부상.
- 유전적 요인: 가족력에 의해 발생 가능.
- 특정 질환: 감염성 관절염, 염증성 질환 등이 원인이 될 수 있음
- 증상:
- 관절 통증과 뻣뻣함.
- 관절 부위의 부기와 염증.
- 움직임 제한 및 관절 변형(예: O자형 다리).
- 말기에는 연골 소실로 인해 뼈끼리 부딪혀 극심한 통증 발생
- 치료 방법:
- 비수술적 치료:
- 약물치료(소염제, 진통제).
- 물리치료 및 운동요법.
- 연골주사(히알루론산) 또는 스테로이드 주사.
- 수술적 치료:
- 초기 단계: 관절경 수술로 손상된 연골 제거.
- 말기 단계: 인공관절 치환술로 손상된 관절 대체
- 비수술적 치료:
- 예방 및 관리:
- 적정 체중 유지.
- 규칙적인 운동으로 관절 강화.
- 무릎 보호를 위한 적절한 자세 유지.
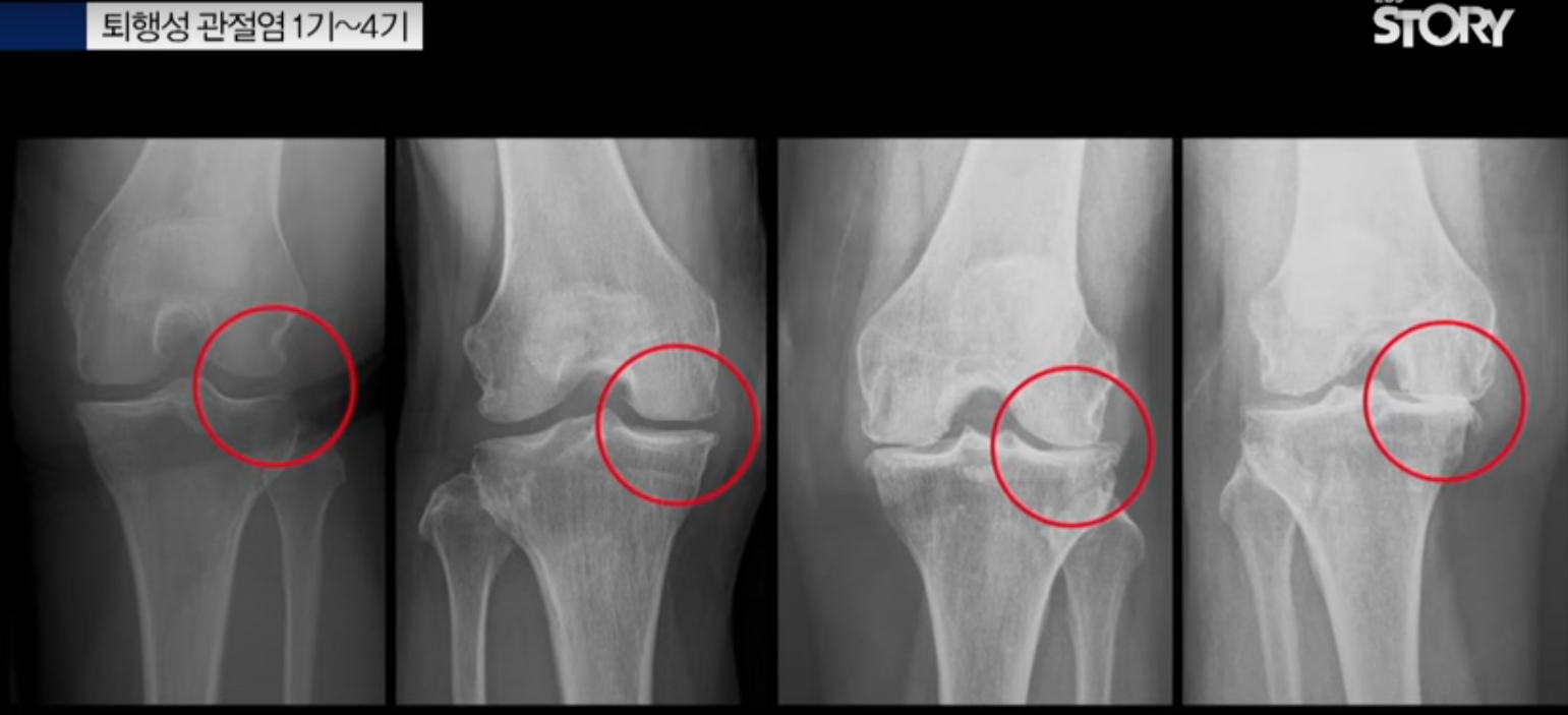
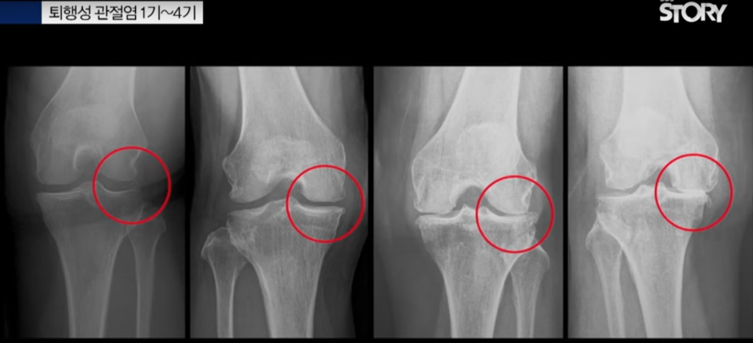
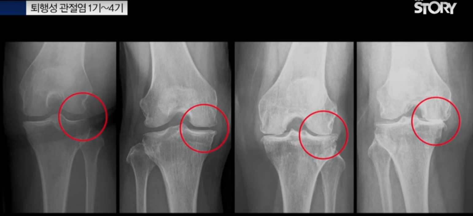
퇴행성 관절염 진행단계
퇴행성 관절염의 진행 단계는 일반적으로 4단계로 구분됩니다:

1단계 (초기)
- 약 10%의 연골이 감소된 상태
- 간헐적인 통증 발생
- 미세한 골극 형성, 정상적인 관절 간격 유지
- 보존적 치료가 가능한 단계
2단계 (경도)
- 연골 손상으로 관절 간격이 좁아지기 시작
- 관절 표면이 울퉁불퉁해짐
- 골극 형성이 뚜렷해짐
- 염증과 통증이 나타남
3단계 (중등도)
- 연골이 더 많이 닳아 뼈가 서로 닿기 시작
- 다발성 골극 형성
- 관절 간격이 중등도로 감소
- 움직일 때마다 통증 발생
4단계 (말기)
- 연골이 거의 또는 완전히 소실됨
- 뼈와 뼈가 직접 부딪힘
- 심한 골극 형성과 심각한 관절 간격 감소
- 관절이 뻣뻣해지고 부어올라 일상생활이 어려워짐
이러한 단계 구분은 주로 엑스레이 검사를 통해 이루어지며, 켈그렌-로렌스 분류법(K-LG)이라고 합니다. 단, 방사선학적 변화가 반드시 증상의 심각도와 일치하지는 않으므로, 개인별로 증상과 기능 저하 정도를 종합적으로 평가해야 합니다
아주대학교병원 정형외과 원예연 교수

원예연 교수는 무릎 퇴행성관절염 분야의 저명한 전문의입니다. 주요 특징은 다음과 같습니다:
- 아주대학교병원 정형외과 교수로 재직 중입니다.
- 전문 분야는 무릎 퇴행성 관절염, 인공관절치환술, 연골재생치료, 무릎 관절경 수술입니다.
- 1984년 연세대 의과대학을 졸업하고 의학박사 학위를 취득했습니다.
- 미국 LA USC 대학병원 관절염센터에서 관절이식 연구를 수행했습니다.
- 인공관절 수술에서 높은 성공률을 보이며, 시술 10년 후 95%의 관절 유지율을 자랑합니다.
- 환자의 상태에 따라 인공관절 수술뿐만 아니라 절골술 등 다양한 치료 방법을 제시합니다.
- EBS '명의' 프로그램에 출연하여 퇴행성 무릎 관절염의 치료법에 대해 설명했습니다.
- 대한고관절학회 36대 회장으로 선출되어 학회 활동에도 적극적입니다.
원예연 교수는 환자의 나이, 연골 상태 등을 고려한 맞춤형 치료를 강조하며, 수술 외에도 다양한 치료 옵션을 제시하는 전문가로 알려져 있습니다.
아주대학교병원 정형외과 민병현 교수

민병현 교수는 무릎 퇴행성관절염 분야의 저명한 전문의입니다. 주요 특징은 다음과 같습니다:
- 아주대학교병원 정형외과 교수로 재직했으며, 슬관절, 퇴행성관절염, 인공관절 전문의입니다
- 1994년 국내 최초로 자가연골세포이식 수술을 도입하여 성공을 거두었습니다
- 골관절염 치료에 있어 환자 맞춤형 접근을 강조합니다. 모든 환자에게 수술을 권하지 않고, 각 환자의 상태에 따라 적절한 운동, 약물치료, 수술 등을 제안합니다.
- 관절염과 연골 세포치료 분야에서 지속적인 연구를 수행하고 있으며, 정부로부터 상당한 연구비 지원을 받고 있습니다
- EBS '명의' 프로그램에 출연하여 무릎 골관절염의 원인, 치료방법, 수술, 운동 등에 대해 설명했습니다.
- 2022년 8월 31일까지 아주대학교병원에서 진료를 보았으며, 이후 정년퇴직했습니다
민병현 교수는 골관절염 치료에 있어 혁신적인 접근을 시도하고 있으며, 환자 개개인의 상태에 맞는 맞춤형 치료를 강조하는 전문가로 알려져 있습니다.
강동경희대학교병원 정형외과 김강일 교수

김강일 교수는 퇴행성관절염, 특히 무릎 관절염 치료의 저명한 전문가입니다. 주요 특징은 다음과 같습니다:
- 강동경희대학교병원 정형외과 교수이자 관절류마티스 센터장으로 재직 중입니다.
- 전문 분야는 무릎(슬관절), 인공관절 수술, 관절보존 절골술, 컴퓨터응용 수술, 다리교정 수술, 퇴행성 관절염입니다.
- 연간 350례 이상의 무릎 관절염 관련 수술을 집도하는 세계적인 인공관절 명의로 알려져 있습니다.
- EBS '명의' 프로그램에 여러 차례 출연하여 퇴행성 무릎 관절염의 치료법에 대해 설명했습니다.
- 환자 맞춤형 치료를 강조하며, 무조건적인 수술보다는 환자의 상태에 따라 적절한 치료법을 제시합니다.
- 줄기세포를 이용한 퇴행성관절염 치료에 대한 연구를 진행하고 있으며, 이를 새로운 치료법으로 제시하고 있습니다.
- 인공관절 수술뿐만 아니라 최소침습수술, 컴퓨터 응용 수술법 등 다양한 수술 기법을 활용합니다.
김강일 교수는 환자를 가족처럼 생각하며 최선의 치료를 제공하는 자상한 의사로도 알려져 있습니다.
서울성모병원 정형외과 인용 교수

인용 교수는 서울성모병원 정형외과에서 활동하는 무릎 퇴행성관절염 분야의 저명한 전문의입니다. 주요 정보는 다음과 같습니다:
전문 분야
- 퇴행성 무릎 관절염
- 인공관절 치환술
- 교정 절골술
- 관절내시경 수술
경력 및 업적
- 서울성모병원 정형외과 교수로 재직 중.
- 무릎 관절 질환과 관련된 다양한 연구와 논문 발표.
- 세계적으로 권위 있는 교과서에 무릎 인공관절 수술 기법 연구 논문이 소개됨.
진료 철학
- 환자의 상태에 따라 맞춤형 치료를 제공하며, 수술뿐만 아니라 비수술적 치료 옵션도 적극적으로 활용.
- 퇴행성 관절염의 단계별 치료를 통해 환자의 삶의 질을 개선하는 데 중점을 둠.
방송 및 대중 강연
- EBS '명의' 프로그램에 출연하여 퇴행성 무릎 관절염의 진단, 치료법, 그리고 예후에 대해 설명.
- 대중들에게 관절 건강의 중요성을 알리고, 예방 및 관리 방법을 소개.
인용 교수는 풍부한 임상 경험과 연구를 바탕으로 퇴행성 무릎 관절염 환자들에게 최적의 치료를 제공하는 전문가로 평가받고 있습니다. 그의 진료를 원하시는 경우, 서울성모병원 정형외과를 통해 예약 및 상담을 진행할 수 있습니다.
가천대 길병원 정형외과 심재앙 교수

심재앙 교수는 가천대 길병원 정형외과의 저명한 전문의로, 무릎 퇴행성 관절염 및 인공관절 수술 분야에서 높은 평가를 받고 있습니다. 주요 정보는 다음과 같습니다:
전문 분야
- 무릎 골관절염
- 염증성 관절염
- 인공관절 치환술
- 실패한 인공관절 재수술
- 스포츠 의학 및 관절경
- 하지 골절 및 골수염 치료
학력 및 경력
- 경희대학교 의과대학 졸업
- 가천의과학대학교 의학석사 및 박사 학위 취득
- 하버드 의대 연수 경험
- 2016년부터 가천대 길병원 정형외과 교수로 재직 중
- 가천대 길병원 연구지원부장 및 정형외과 주임교수 역임
진료 철학
심재앙 교수는 환자의 상태와 증상에 따라 맞춤형 치료를 제공하며, 무조건적인 수술보다는 비수술적 치료 옵션(약물치료, 물리치료, 주사치료 등)을 적극적으로 활용합니다. 또한, 환자의 활동력과 관절 상태를 고려하여 최적의 치료법을 제시합니다.
연구 및 학술 활동
- 슬관절학회 국제학술대회에서 최다 피인용상을 수상하며 연구 성과를 인정받음.
- SCI 국제 학술지에 다수의 논문 발표.
- 대한정형외과학회 법제위원 및 슬관절학회 학술부위원장으로 활동.
진료 일정
심재앙 교수의 진료는 가천대 길병원에서 진행되며, 월요일부터 수요일 오전에 가능합니다. 진료 예약은 병원 대표번호(1577-2299)를 통해 가능합니다.
심재앙 교수는 풍부한 임상 경험과 연구를 바탕으로 환자들에게 최적의 치료를 제공하며, 퇴행성 관절염 치료 분야에서 신뢰받는 전문가로 평가받고 있습니다.
무기질, 단백질 섭취하는게 좋다.
방바닥에 앉지 말자 + 운동하자.
https://www.youtube.com/watch?v=nXl7TfzjQuQ

앉았다 일어서기 운동 중요하다.